Эндопротезирование коленного сустава с применением 3D‑печати металлом

Отрасль
Медицина
Задача

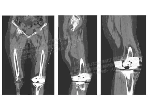
Лечение остеоартрита коленного сустава у пациентки 63 лет (проект Национального проектно-исследовательского центра реконструкции тканей и Первой народной больницы Гуанчжоу, Китай)

Что сделано
  • Эндопротезирование коленного сустава с применением цифровых технологий и 3D‑печати металлом
  • Используя 3D‑модель коленного сустава на основе КТ и SLM‑технологию, специалисты спроектировали оптимальное положение хирургического шаблона
  • Для быстрого создания персонализированного хирургического шаблона для эндопротезирования сустава использован эффективный и безопасный SLM‑принтер HBD‑150
Результат
  • Достигнута высокая степень прилегания между шаблоном и коленным суставом
  • Сокращено время проведения операции
  • Значительно уменьшена интраоперационная кровопотеря
  • Снижена вероятность врачебной ошибки при подготовке к установке эндопротеза
  • Сокращены сроки послеоперационного восстановления

Источник: en.hb3dp.com

Оборудование
HBD 150/150D
Технологии
Селективное лазерное плавление (SLM)
Читайте в блоге
3D‑принтер по металлу – превосходный инструмент для ортопедов

бесплатная консультация

Оставляя на сайте, размещенном по веб-адресу: https://iqb.ru/, принадлежащем АО «АЙКЬЮБ Технологии», любые из Ваших данных (которые отнесены к категории персональных в соответствии с ФЗ «О персональных данных» от 27.07.2006 № 152-ФЗ), путем заполнения полей любых форм на сайте, Вы автоматически даете согласие на обработку и трансграничную передачу Ваших персональных данных в соответствии с условиями Политики обработки персональных АО «АЙКЬЮБ Технологии» и подписываете согласие на передачу АО «АЙКЬЮБ Технологии» ваших персональных данных третьим лицам.

Наверх